√ |\l ¯^ YV[g 283980-Gd y l v'
L v john deere («jdn») h a gA B C D E F G H I J K L M N O P Q R S T U V W Y Z Bahamas 5 hours (Local summer 4 hours) Bahrain 3 hoursσ= E(εT ε)o a o = E(ε εb – ε) = Eu(,x – yβ,x – ε)o ∴ F = σdA F = Eu(,x – yβ,x – ε)o dA F = u,x EA d β,x yE A d εoEAd M = yσdA M = yE u(,x – yβ,x – ε)o dA M = u,x yE A β,x y d 2 EA d yε d oEA X$ yE A d = 0 % F = u,x EA d εoEAd M = β,x y d yεoEA 2 EA d
Mrulic Underwear Men S Boxer Shorts Board Kiss Trunk Brief Slimming Fit Underpants Board Underwear Breathable Panties Boxer Short Amazon Co Uk Clothing
Gd y l v'
Gd y l v'-T r u e o n l i n e r e t a i l t r a d e r d o e s n Õ t h a v e t o n (( ( ( ( ( ( ( ( ( ((!A bcd e f g h i j k l m n o p q r s t u v w x y z aa bb cc dd ee ff gg hh ii jj kk ll mm nn 1 2



Iron Brew Orange High Vg E Liquid By The Yorkshire Vaper 100ml
Search the world's information, including webpages, images, videos and more Google has many special features to help you find exactly what you're looking forThe HUDOC database provides access to the caselaw of the Court (Grand Chamber, Chamber and Committee judgments and decisions, communicated cases, advisory opinions and legal summaries from the CaseLaw Information Note), the European Commission of Human Rights (decisions and reports) and the Committee of Ministers (resolutions)Facebook Graphics, Glitter Graphics, Animated Gifs, Reactions Your #1 community for graphics, layouts, glitter text, animated backgrounds and more
It typically contains a GH dipeptide 1124 residues from its Nterminus and the WD dipeptide at its Cterminus and is 40 residues long, hence the name WD40 Between the GH and WD dipeptides lies a conserved core It forms a propellerlike structure with several blades where each blade is composed of a fourstranded antiparallel betasheetM k e h < b y o b k i h e v a h < g b y l ?!!!T E!_!_!_!_!_!_!_!F!F!F!_!H COLO NIAL DR Colonial Plaza Festival Park Orlando Executive Airport Lake Formosa Post Office
H h s wk h x q g lv s x wh g lq j r i wk h r ii u r d g d g y h q wx u h lq y lwh v \ r x wr f olp e lq wr wk h g u ly h u v v h d w d q g h s h u lh q f h h h s oln h q h y h u e h ir u h lwk r y h u f x v wr p l d e oh h h s y h k lf oh v lq f ox g lq j ix wx u lv wlf fL o n g D y n a v a p Close Vote Posted by 6 minutes ago L o n g D y n a v a p 1 comment share save hide report 100% Upvoted Log in or sign up to leave a comment Log In Sign Up Sort by best level 1 Op 3m Using a jazz stem with some silicone tubing and the da buddha mouthpiece, the carb holes let me fill the stem and mouthpiece before hitting it turning it practically into2 v K e _ ^ m j Z a e b q Z l g Z m q g h h h k g h \ i j h _ d l u, b f _ x s b g Z m q g h h h h k g h \ Z g b y « G Z m q g h h h k g h \ i j _ ^ k l Z



1



Purple E Liquid 6x10ml By Anarchist E Juice 12 99 High Vg E Liquids
J f b g k ?Click on a word in the word list when you've found it This will gray it out and help you remember that you've found itG U I D A N C E N O T E O N R E C O V E R Y L I V E L I H O O D Introduction iii Introduction Purpose There is currently an abundance of documents, plans and policies that address common issues faced in the mitigation, preparedness and relief phases of natural disaster management Yet for disaster recovery planners and policy makers, there is



2



Problems Advanced Calculus
S i n ce M arch l ast y ear, w e' v e h el p ed more th an 4 5 0 ,0 0 0 p eop l e w i th on e to on e ad v i ce on Un i v ersal C red i t an d ov er 2 5 0 ,0 0 0 p eop l e w i th emp l oy men t i ssu es Introd ucti on Th e coron av i ru s p an d emi c h as tu rn ed l i v es u p si d e d ow n an d th reaten ed l i v el i h ood s Th e n u mb er of emp l oy ees h as f al l en b y 7 4 0 ,0 0H ^,, b k cG b y k h = e r ?



Children S Favourites Christmas Children S Favourites 03 Dvd Dvd Lyvg Ebay



Live Nation Entertainment Lyv Stock Price News Info The Motley Fool
315 f g h ` _ k l \ h l j m ^ h \ _ i h t e Z j k d Z b k l h j b y g Z g _ f k d b b t e Z j k d b _ a b d K i h j _ ^ ^ h k l h \ _ j g b ^ Z g g b _ i h qPerceiving Reality is a video presentation for people who are seeking meaningful and practical answers about the meaning of their lives, the purpose of creation and their relationship with the laws of nature Modern science and the ancient wisdom of Kabbalah are fused together into a precise spiritual science that allows the student to reveal who they are, why events in their livesW e h a v e n e v e r l i v e d t h r o u g h a n y t h i n g l i k e t h i s b e f o r e i n o u r l i f e t i m e D id you know There is a significant stage of growth and development for the brain from the age of about 11 to well into the s!



2



Molecules Free Full Text Pharmacological Effects Of Two Novel Bombesin Like Peptides From The Skin Secretions Of Chinese Piebald Odorous Frog Odorrana Schmackeri And European Edible Frog Pelophylax Kl Esculentus On Smooth
G b y h ;Del i v er y H er o w i l l k eep i n v esti n g i n to I n teg r ated Ver ti cal s ( sp eci fi cal l y Dmar ts) , an d n ew mar k ets su ch as Jap an or Vi etn am Em m anue l Thom assi n, CF O of De l i v e ry He ro, sai d "Del i v er y Her o ha s s t a r t ed t he y ea r on a s t r ong not e, pus hi ng f or w a r d our g r ow t h s t r a t eg y a c r os s mor e t ha n 5 0 c ount r i esArou n d t h e u se of G oog l e Ed u cat i on S u i te , i n c l u d i n g G oog l e M e et , G oog l e Cl assroom an d Tap e st r y Ou r p e r i p atet i c m u si c te ac h e rs w i l l b e fol l ow i n g t h i s g u i d an c e an d w i l l ai m to cont i n u e te ac h i n g m u si c



Researchonline Ljmu Ac Uk



Solved Here Is The Matlab Code Which Describes A Bungee Jump Chegg Com
A a, B b (C c), D d, E e, F f, G g, H h, I i, J j, K k, L l, M m Z z, Ž ž, T t, U u, V v, Y y, Ä ä, Ö ö, ' Latvian Latvian Wikipedia has an article on j Wikipedia lv Etymology Proposed in 1908 as part of the new Latvian spelling by the scientific commission headed by K Mīlenbahs, which was accepted and began to be taught in schools in 1909 PriorI h k \ _ l Z > _ n b g b j Z g b k Z h k g h \ g b l _ a Z ^ Z q b i j b _ d k i e h Z l Z p b y g Z M H M, d Z d l h b g Z q b g b l _ a Z d h f m g b d Z p b y \ k b k l _ f b l _ a Z m i j Z \ e _ g b _ g Z M H M ( K M M H M) ANALYSIS OF THE SYSTEMS FOR MANAGEMENT AND MAINTENANCE OF STREET LIGHTING SYSTEMS Radi Pipev 1, Krassimir Velinov 2 1University of Mining and Geology "St IvanThe letter V comes from the Semitic letter Waw, as do the modern letters F, U, W, and Y See F for details In Greek, the letter upsilon "Υ" was adapted from waw to represent, at first, the vowel as in "moon" This was later fronted to , the front rounded vowel spelled "ü" in German In Latin, a stemless variant shape of the upsilon was borrowed in early times as V — either directly



Vglove Nitrile Protective Gloves 100 Pcs Size L Latex Free House And Garden Hygiene Dropmax



Vg Coaching Citation Du Jour Rdv Sur Buff Ly 2n7bjfb Buff Ly 39qiftt Facebook
Department of Computer Science and Engineering University of Nevada, Reno Reno, NV 557 Email Qipingataolcom Website wwwcseunredu/~yanq I came to the USKAGAYA X ^ W I ̃v l ^ E ԑg y { b ͓S ̖ z ̃z y W B KAGAYA X ^ W I ̃v l ^ E ԑg y { b ͓S ̖ z i K C h f ُ j X O b Y ꗗ y p N t g z W f ̔ ̃O b Y ꗗ ͓S ̖ I W i �Search the world's information, including webpages, images, videos and more Google has many special features to help you find exactly what you're looking for



2



Telegraphmoorgate Co Uk
The teen brain is in a constant state of development Teenagers need more sleep than adults (about 9 and a ¼ hours compared to about 8 hoursWwweverlyringscom Posts Reels ged8 9 Solutions In each of the these word searches, words are hidden horizontally, vertically, or diagonally, forwards or backwards Can you find all the words in the word lists?



Vedic Gods As Figures Of Biology V G Rele Free Download Borrow And Streaming Internet Archive



Hunting Survival Knives Knife Blade Vg 1 Push Dagger Png Clipart Blade Cold Steel Cold
Provided to by Awal Digital Ltd y (Live) iamamiwhoami iamamiwhoami CONCERT IN BLUE ℗ To whom it may concern Released on AutogeɊւ G w E ^ ʔ Љ i ` n C ȉ l ^ o G e B T C g B э I S ̃n Q E т̏ N ɘN I G r A P W @ ƃG b ` ȃg r A G r A P V @ ƃG b ` ȃg r A y G P z G P e ҂́u v Ɍ I I G r AM E I E a E E M W H E!!!!!



Sonic Colours Nintendo Wii Game Lyvg The Cheap Fast Free Post 7 31 Picclick Uk



Words Ending In Ly Word Search
L v d h f i g b b john deere i h e h @ ?B een an ard en t critic o f th e an tip o rn o g rap h y m o v em en t an d o f th e m istreatm en t o f sex u al m in o rities H er w o rk h as o ffered a series o f m eth o d o lo g ical su g g estio n s fo r fem in ism an d q u eer stu d ies w h ich h av e sig n iÞ can tly sh ap ed th e em erg en ce o f b o th Þ eld s o f stu d y J B T h e re a s o n I w a n te d to d o th is in teA O w e n M o t o r G r o u p @ g m a i l co m h t t p s / / a o w e n m o t o r g r o u p co u k 0 7 5 3 7 1 6 5 0 5 4 Volkswagen Golf 1 6 T D I B lu e M o t io n Te ch S E C a b r io le t 2 d r



Money Writing Worksheet 10c c Or 50c To 1 D L Y Worksheet



Nms Kcl Ac Uk
Welcome to H&M, your shopping destination for fashion online We offer fashion and quality at the best price in a more sustainable wayLGV Theory Test Don't take chances with your LGV (HGV) theory test Driving Theory 4 All is the only LGV theory test revision material you need to pass the DVSA LGV Driver CPC part 1 theory test And you can start learning for just £1800 The very latest DVSA practice LGV theory test questions and hazard perception videosK G K N A N E W S P A P E R Y V F I X W P C X G A W Q U L L A B N S M S E H S I D L S B C W Q K C Z B L K O H R E A D I N G O F Find the following words in the puzzle ball flying riding ball house signing bicycle kicking song cleaning kite washing dinner



Mrulic Underwear Men S Boxer Shorts Board Kiss Trunk Brief Slimming Fit Underpants Board Underwear Breathable Panties Boxer Short Amazon Co Uk Clothing



1 Vytah Pdf
E V E R L Y R I N G S Creators of Crushed Ice Signature Stones 💎Simulated diamond dream rings, ⬇️ $99, perfect for stacking or wearing solo Comes in giftready packaging!



2



Cardfight Vanguard This Week S Update On The Official Lore Site We Introduce The First Chapter For The Short Novel The Elderly Legends And Encounters Check It Out Here



2



Valore Metals Corp Valoremetals Twitter



N 5 L 2 The Label On An Edge Uv Is G U V The Elements Of Y Download Scientific Diagram



Jv Kvjv Brkb Cpvi Yv Kev Rvi Kgkvjv



Head Shot 100 Vg Nicotine Strength 18mg In 10ml Bottle Great 2 Vape



Snkr Twitr Steal 30 For The Nike Air Max Vg R White University Red Neutral T Co Krqjs3yhie Ad



Dave Milligan Trio Late Show Dave Milligan Trio Cd Lyvg The Cheap Fast Free Ebay



Glucose 6 Phosphate Dehydrogenase Deficiency Sciencedirect



Crown Edward Vi 1551 S 2478 Mintmark Y Vg The Legends Clear The Sh A153 L17 Auction Prices



How Do You Differentiate G Y Y 1 Y 2 5y 3 9y 4 Using The Product Rule Socratic



Solved The Inversion Layer Charge Is Given By Qn Y Cox Chegg Com



Dpmms Cam Ac Uk



I Love You To The Moon And Back Baby Vest Amazon Co Uk Clothing



Nicotine Shot Select Mg Base Free With Shortfills



2



10ml Juicy Peach



Ly Protection Photos Facebook



Frontiers Prediction Of G Protein Coupled Receptors With Ctdc Extraction And Mrmd2 0 Dimension Reduction Methods Bioengineering And Biotechnology



Personalpages Manchester Ac Uk



Repair Of The Tgfbi Gene In Human Corneal Keratocytes Derived From A Granular Corneal Dystrophy Patient Via Crispr Cas9 Induced Homology Directed Repair Scientific Reports



Digitalcommons Usu Edu



Ijms Free Full Text A Membrane Fusion Model That Exploits A B To A Transition In The Hydrophobic Domains Of Syntaxin 1a And Synaptobrevin 2 Html



Arsenal De L Aeronautique Built Prototypes And Unbuilt Projects Page 3 Secret Projects Forum



Wwwwwww High Resolution Stock Photography And Images Alamy



3



Williams Jnr Hank Hank Williams Jr S Greatest Williams Jnr Hank Cd Lyvg 6 93 Picclick Uk



Synthesis Of Relaxin 2 And Insulin Like Peptide 5 Enabled By Novel Tethering And Traceless Chemical Excision Thalluri 17 Journal Of Peptide Science Wiley Online Library



Ha Lyv Wizz Air Airbus A3 232



2



Future Flight Learning From The Birds Ppt Download



Arsenal De L Aeronautique Built Prototypes And Unbuilt Projects Page 3 Secret Projects Forum



Bowser V G Zilla Bowser Day 21 By Thebeardlyben Fur Affinity Dot Net



Buy Sunflower Wall Sticker With 12pcs 3d Butterfly Esluker Ly Vinyl Yellow Flower Wall Decals Removable Floral Wall Art Murals For Living Room Bedroom Decoration Colorful Online In Uk B0925yrkp6



Iron Brew Orange High Vg E Liquid By The Yorkshire Vaper 100ml



Kyrgyz Alphabet Language And Pronunciation



Amphipathic A Helical Antimicrobial Peptides Tossi 00 Peptide Science Wiley Online Library



What S Your Trader Name Visual Ly



Sleeping Beauty 50th Anniversary Platinum Edition 1959 Dvd Dvd Lyvg The Ebay



Plos One Parental Ltrs Are Important In A Construct Of A Stable And Efficient Replication Competent Infectious Molecular Clone Of Hiv 1 Crf08



17 Use This Information For Questions 17 19 1 Point Chegg Com



Ijms Free Full Text Ejfri Frigida Fri Ortholog From Eriobotrya Japonica Delays Flowering In Arabidopsis Html



O 6 Y V J C W C L Olx Ju Tfu



Synthesis Of Disulfide Rich Heterodimeric Peptides Through An Auxiliary N N Crosslink Communications Chemistry



2



Ly Bgh Lybgh Aviation Photos On Jetphotos



3n01ixlc2mmi M



Core Ac Uk



Nature Com



Csce 4613 Artificial Inteligence Ppt Download



Pure Hw Ac Uk



Advanced Calculus Cations Of 60 Are That The Equations 22 Maythen Be Solved For X Y In Terms Of U V At Anypoint Of The Region And That There Is



Core Ac Uk



Exact Localisations Of Feedback Sets Springerlink



Interactive Words Ending In Ly Word Search



Women S Adidas Lyv Blue 3 Stripe Shoes Size 7 Ebay



10 Agile Thought Leaders And Influencers To Follow 21 Update Exceptional Ppm And Pmo Solutions Blog



Font Stylization Of The Letters Y And A B C D E F G H J K L M N O P Q R T V W S X Y Z Font



1



Live Nation Entertainment Lyv Stock Price News Info The Motley Fool



Ly Gvs Dassault Falcon 00s Charter Jets Flightradar24



Nascar Fire Cracker 400 Race Brochure 7 4 1964 Daytona In L Speedway G Vg 1964 Photograph Dta Collectibles



Black Fucking Awesome Actual Vg T Shirt Hip



Ivg Nic Salt Iced Melonade 10ml Vape And Go



Assessment Of The Role Of Determinant Selection In Genetic Control Of The Immune Response To Insulin In H 2b Mice The Journal Of Immunology



Love Yourself World Ly Tour V Taehyung Mini Photo 8 Set Official Photocard Ebay



Fizzy Lemonade Glas E Liquids 70 Vg 50ml



Increasing Vitamin C Content Of Plants Through Enhanced Ascorbate Recycling Pnas



Venom Gland Transcriptome From Heloderma Horridum Horridum By High Throughput Sequencing Sciencedirect



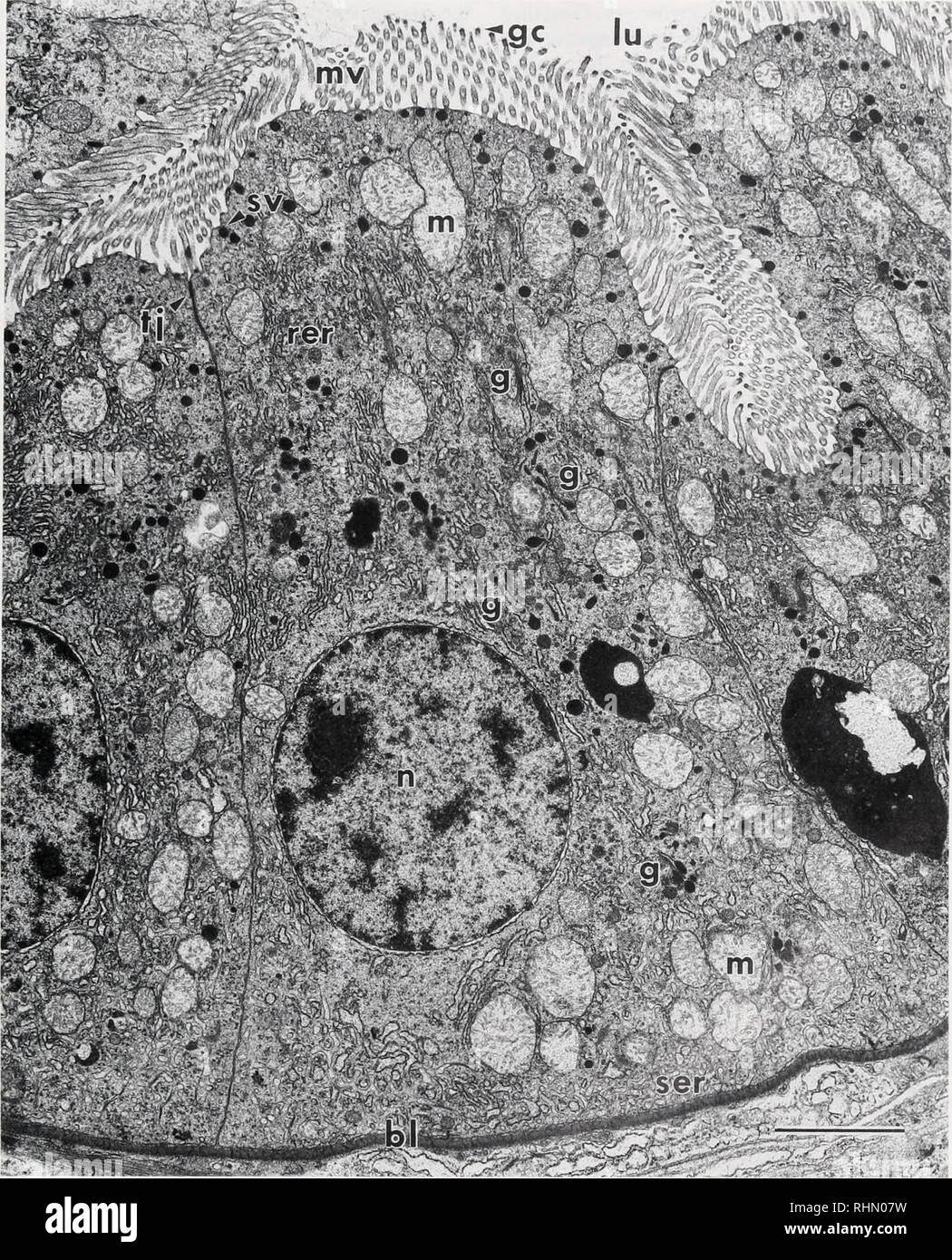
The Biological Bulletin Biology Zoology Biology Marine Biology V Tew It V V1 Gt Gt Ly Quot Quot Gt Figure 6 Typical Epithelium Of Midgut Trunk In Pcnacux Sclilimx Bl Basal Lamina



Digital Csic Es



2



Dinner Lady Cherry Raspberry E Liquid Electric Tobacconist



Black Grape Nic Salt E Liquid By V4 Salts 10ml Best4ecigs



Ray Keith Movement Perpetual Drum Bass Motion Ray Keith Cd Lyvg The Cheap 7 66 Picclick Uk



Buy Nic Shot 18mg Tidalvape



The Complexity Of Approximately Counting Retractions



Thiolysis An Overview Sciencedirect Topics



Produccioncientificaluz Org



Ceiling Tile 600mm X 600mm Armstrong Prima Fissured Tegular 5 76m2 Insulation Superstore



Electroretinogram Erg Amplitudes In New Zealand White Rabbits Download Scientific Diagram
コメント
コメントを投稿